Ağız içinde geçmeyen yaralar kanser belirtisi olabilir!

Ağız içinde geçmeyen yaralar kanser belirtisi olabilir!

Dilimiz konuşma ve yutma fonksiyonu ile kemik yapısı olmayan kas kütlesinden oluşan bir doku parçasıdır

Ağız içinde geçmeyen yaralar kanser belirtisi olabilir!

Kulak Burun Boğaz Hastalıkları Uzmanı Prof. Dr. Yavuz Selim Yıldırım konu hakkında önemli bilgiler verdi.

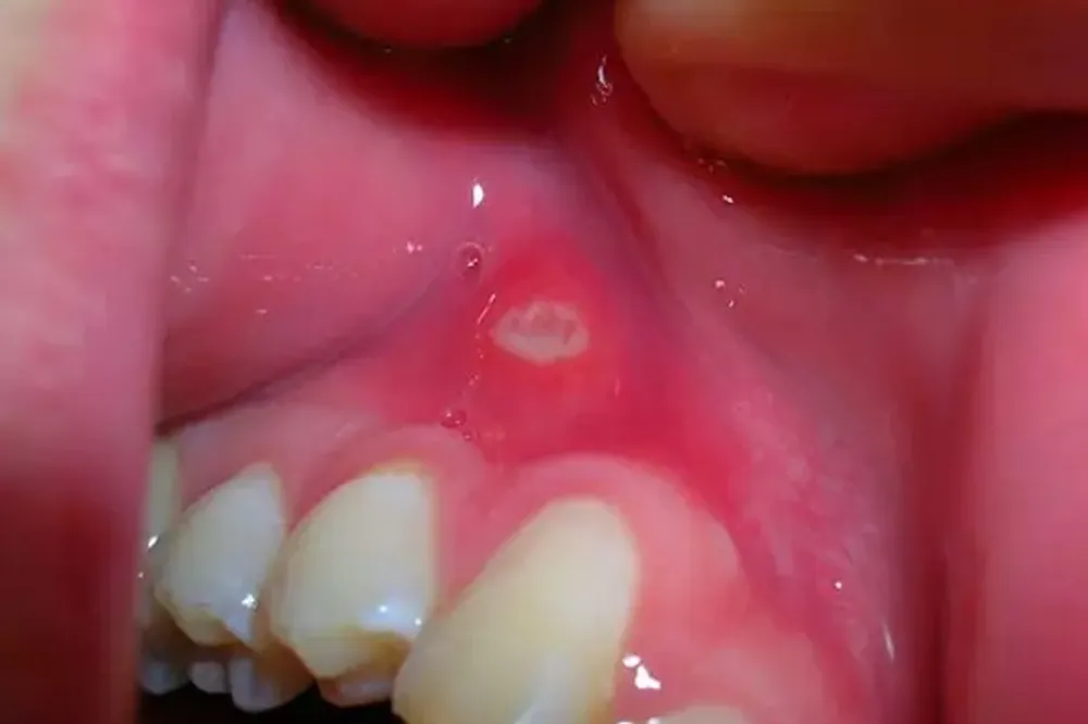
Dilimiz konuşma ve yutma fonksiyonu ile kemik yapısı olmayan kas kütlesinden oluşan bir doku parçasıdır. Diğer organlar da olduğu gibi dilimizde de kötü huylu kanser görülebilmektedir. Genellikle erken dönemde fark edilir ve yakalanır, dilin arka ve iç bölgesindeki kanserler nadiren geç dönemde yakalanabilir. 2-3 haftayı geçen ağız içerisinde geçmeyen yaralar da mutlaka kötü huylu tümörler akla gelmelidir. Dilin üzerinde kabarık şekilde giderek büyüyen ve dilin renginden farklı renkte olan doku şeklinde veya dil yüzeyinde içeri doğru çukur şeklinde kendini gösterebilir. Az içerisinde ve dilde çıkan aftlar ile başlangıçta karıştırılabilir, ancak iyileşmemesi durumunda geç kalmadan mutlaka hekime başvurmak erken teşhis açısından hayati önem taşımaktadır. Geç kalındığı taktirde zengin bir komşuluk ve lenfatik dolaşımı sayesinde ağız tabanındaki kaslara boyundaki dokulara ve kan yoluyla başka organlara yayılabilmektedir.

Dil kanserine neden olan etkenler

Alkol ve sigara en önemli etkenlerin başında yer alır. Özellikle ihmal edilen etkenlerin başında ağız hijyeninin geri kaldığı durumlarda da kanser sıklığında artış saptanmıştır. En önemli etkenlerden bir tanesi de diş bölümünde yapılan protezlerinin dile ve komşu yapılara sürtünmesi sonucu dile ya da diş etlerine sürekli travma bu bölgede tümör oluşumuna neden olmaktadır. Yaşlanma da başlı başına kanser açısından bir risk faktörü oluşturur. Özellikle cinsel yolla bulaşan HPV virüsü ve sifiliz gibi bulaşıcı enfeksiyon hastalıklarında da dil ve ağız bölgesi kanserlerinin sıklığında artış saptanmıştır. Genetik olaraktan kansere yatkınlığı olan kişilerin ve bağışıklık sisteminin zayıf olduğu kişilerde dil ve ağız bölgesinde kanser sıklığı artmaktadır. Vücudunuzun başka bölgelerindeki kanserlerin buraya metastaz yapması sonucu yine görülebilmektedir.

Dil kanseri belirtileri nelerdir?

Dil kanserinin en önemli belirtisi iyileşmeyen yaralardır. Geçmeyen boğaz ağrısı, yutma problemi, konuşma zorluğu yine dil kanserine görülebilecek belirtiler arasında yer alır.

Dil kanserlerinde kulağa vuran ağrılar, boyun bölgesinde şişlikler, çiğneme de zorluklar, tükürükten kan gelmesi ve ağız hijyeninin bozuk olması dil kanserinde görülen diğer belirtiler arasında sayılabilir.

Kesin tanı ve teşhis

Dil kanserinde kesin teşhis şüpheli alandan biyopsi yapılması sonucuyla belli olur. Doktorum kanserden şüphelendi durumda geç kalmadan erken teşhis için mutlaka biyopsi alması tavsiye edilir. Hasta risk faktörleri varlığında özellikle daha dikkatli olunmalıdır. Teşhis için elbette tomografi MR ve PET gibi güncel tanı yöntemleri kullanılabilir, ama mutlaka biyopsi şarttır.

Dil kanserinde Tedavi

Dil kanseri'nde teşhis konulduğu zaman erken evre tümörlerde en iyi tedavi seçeneği cerrahi olarak karşımıza çıkmaktadır. İleri evre tümörlerde yani hastalığın başka organlara yayıldığı boyuna ve komşu yapılara yayıldığı durumlarda öncelikle kemoterapi radyoterapi ilk seçenek olarak kullanılabilir. Hastalığın nüks etmesi durumunda cerrahi seçenek yine devreye girebilir.

Erken teşhis ile dil fonksiyonlari da korunarak dilde kısmi cerrahi yapılabilir ve hastalık tümüyle tedavi edilebilir, ancak ileri dönemlerde dilin tamamı alınıp yerine başka organlardan dokunaklı yapmak gerekebilir boyuna yayılmış ise boyun diseksiyonu ile boyundaki kötü huylu tümör dokuları temizlenmesi gerekir. Tamamlayıcı tedavi olarakta ilaç ve ışın tedavisi ile desteklenebilir.

Dil kanserine yakalanmadan önce muhtemel etkenlerden özellikle alkol ve sigaradan uzak durulmalı, HPV 16-18 gibi virüslerin tedavileri olunmalı, Sürten ve çarpan protezlerin yeniden yapılması, dile takılan piercinglerin çıkarılması, ağız hijyeninin korunması çok daha önemlidir.



Haber Editörü

Vedat Kan

vedudi25@gmail.com
Yorumlar (0)

GÜNDEM

Haberi Sesli Oku